
Dr. Whitman handled a dental emergency case in Leesburg for a 20-year-old woman who fell and broke her two front teeth. The team at Leesburg Family & Cosmetic dentistry and Dr. Whitman stayed after-hours and did bonding and crown work for her to help repair her smile.
This young lady’s dental injury resulted from her tripping and hitting her face on the sidewalk. She went to a local hospital where nothing was done. It was after-hours by the time she was released from the hospital and called Leesburg Family & Cosmetic Dentistry. She had scraped her hands, knees, and face badly but did not require any stitches.
The Damage: Tooth Sensitivity, Swelling, and Broken Teeth
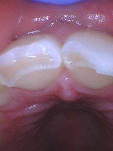
Front teeth fracture
Fortunately, the patient didn’t bite her lips or damage anything else intraorally except for the two upper front teeth. She had a hard time opening or closing her mouth due to the swelling of her upper lip, and she had a lot of sensitivity simply from air or cold on the two broken teeth.
Dr. Whitman took one x-ray of the two front teeth and determined that other than the visible broken areas, there was no fracture of the roots below the gum line. However, the fractures were serious and extended down far onto the back of the teeth, but there was no nerve exposure on either tooth.
The Treatment: Dental Bonding, Crowns, and Custom Shading
Dr. Whitman was able to administer local anesthesia and restore the two front teeth with some composite resin bonding. The patient was very happy with her appearance, but due to the large fractures, Dr. Whitman recommended that she return to have crowns placed on both of her damaged teeth.
The remaining natural tooth structure wasn’t sufficient enough to support the dental bonding long-term, especially for her to be able to bite into hard foods.
Before having her dental crowns placed, the patient returned for a follow-up visit to confirm that no nerve damage was present from the trauma she had sustained. Two months later, she had all-ceramic crowns placed on her front teeth, which gave her stronger teeth and better function to bite into hard foods.
The patient was sent to one of our local dental labs for custom shading, where the lab technicians ensured her restored teeth matched the surrounding teeth in regards to contour, size, shape, and, of course—of chief concern to the patient—color. She was very pleased with the aesthetics and natural feel of the crowns!
The Results: Continued Monitoring and a Beautiful Smile!
The patient has since been symptom-free and returned to college a couple of weeks after we placed the crowns. She’ll continue to be monitored for nerve damage whenever she returns for her cleanings twice a year.
Dr. Whitman is happy to have helped this young woman restore her smile! At Leesburg Family & Cosmetic Dentistry, we’re always here to do our best to accommodate patients in caring for their smiles. Contact us today for an appointment at (703) 831-3952!