Explore before and after gallery and discover the mastery behind each smile transformation here at Leesburg Family and Cosmetic Dentistry. Every photograph reflects our commitment to excellence, showcasing how we tailor our expertise to meet individual needs. Let these smiles be a beacon of what is achievable, building your confidence in our promise to deliver outstanding results. Inspired to embark on your own smile journey? Call us today at 703-831-3952 to schedule a consultation with our dentist, Dr. Kime Whitman, and learn more about our dental services in Leesburg, Virginia.
Cosmetic Dentistry
Situation: This patient had old bonding that was wearing. She disliked her uneven smile line and her flat canine teeth.
Treatment: She brought in an old photo of her teeth and we were able to match the original length and shape with a combination of veneers and crowns.
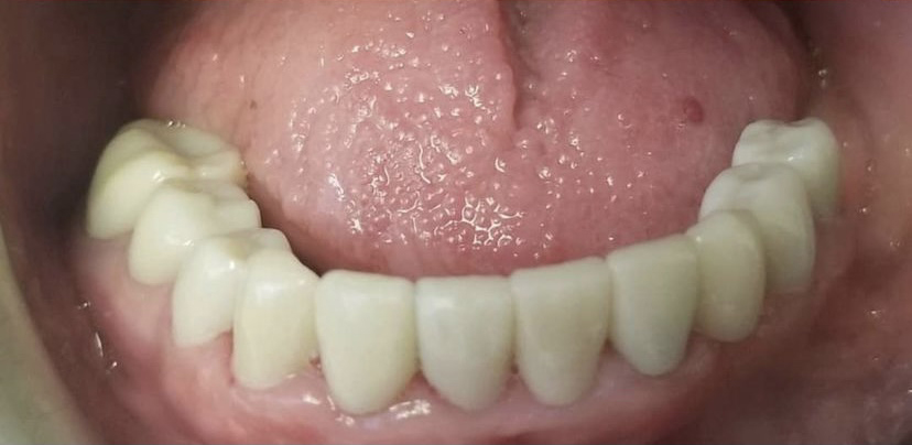
Situation: Patient wanted to have his lower teeth match his upper teeth and needed to correct his crowded teeth as well as older stained and decaying fillings.
Treatment: Dr. Kime Whitman provided six dental crowns across the bottom. The entire treatment was done in two appointments. The first appointment had temporary crowns placed, and then during the next visit, the permanent crowns were placed.
Situation: Patient had enamel hypoplasia, a genetic condition where the tooth animal is too thin and results in a chalky white appearance. She had originally seen an orthodontic specialist, but wanted teeth that looked more natural.
Treatment: Provided multiple cosmetic treatments that restored her natural-looking and functioning smile.
Situation: Patient’s smile had become discolored, and she wanted a brighter smile.
Treatment: We provided in-house teeth whitening with GLO professional whitening, restoring her bright smile.
Situation: Teeth had become stained and discolored over time, which our patient wanted to be corrected with whitening.
Treatment: Treatment included GLO professional whitening, restoring his natural white smile.
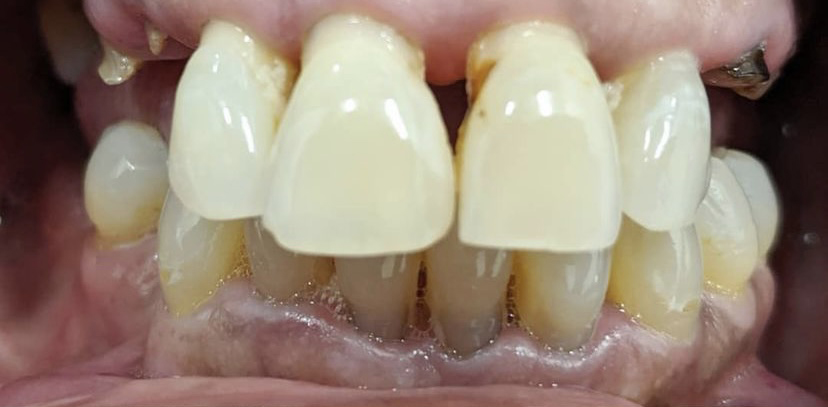
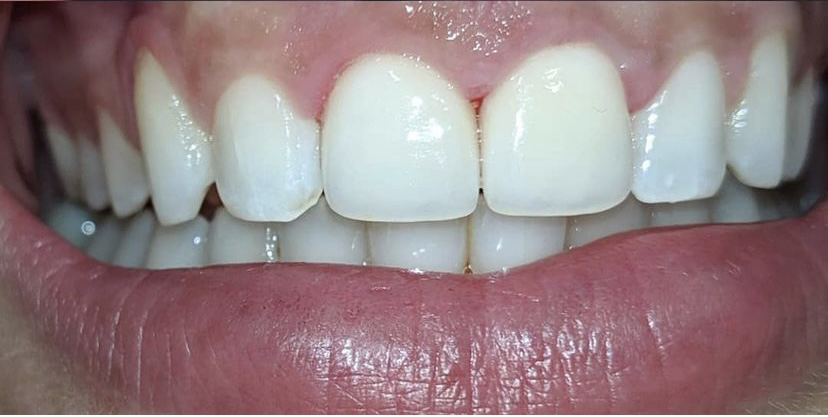
Situation: The patient had eight older dental crowns and veneers that were no longer natural looking. They had “lost their shine.”
Treatment: Dr. Kime Whitman provided both new crowns and veneers, restoring his smile in just two appointments.
Situation: A patient presented with pain from plaque being trapped between his teeth where a piece of tooth had broken away. The patient was unable to eat on that side and had pain shooting from the jaw up to the temple. The tooth was found to be cracked and had a large failing amalgam filling.
Treatment: Dr. Kime Whitman was able to clean it out and save the cracked tooth from needing an extraction by doing a crown. The patient was happy it was saved to be able to eat normally. Moreover, the patient was pleased about the appearance of the tooth over the old silver filling.
Situation: Our patient had considered professional teeth whitening for some time, wanting to correct the yellowing of her teeth, and said with Spring and Summer upon us, now was the time to move forward with whitening to get a bright smile again.
Treatment: Dr. Kime Whitman provided in-office whitening with Glo professional teeth whitening, and from the before and after whitening pictures you can see the yellow teeth were replaced with a healthy radiant bright whiten smile. Just in time for the Summer!
Invisalign® Treatment
Situation: Patient had a crossbite and was unhappy with her lower front tooth.
Treatment: We did an Invisalign® treatment to straighten her teeth, followed by professional teeth whitening.
Situation: Our patient had crowding of the lower front teeth
Treatment: Dr. Kime Whitman treated the bottom teeth with Invisalign treatment, which lasted about six months. Once completed, we provided professional teeth whitening to brighten the smile.
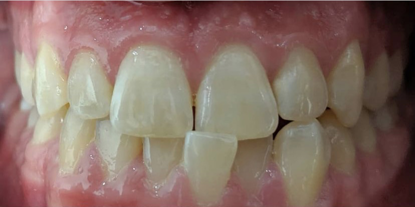
Situation: Our patient had a tooth that was set back adjacent to the patient’s front teeth. While he wanted all his teeth to be in alignment and match, he didn’t want to get any type of orthodontics or have braces for months to resolve the issue.
Treatment: Dr. Kime Whitman placed a single crown over the tooth to bring it into alignment with the rest of the patient’s front teeth. Particular attention was given to matching the contour and shade of the crown with the surrounding teeth to make the restoration look as natural as possible.
After the crown placement, the patient was extremely pleased with the final outcome, which only took two appointments over the span of two weeks.
Dental Restorations
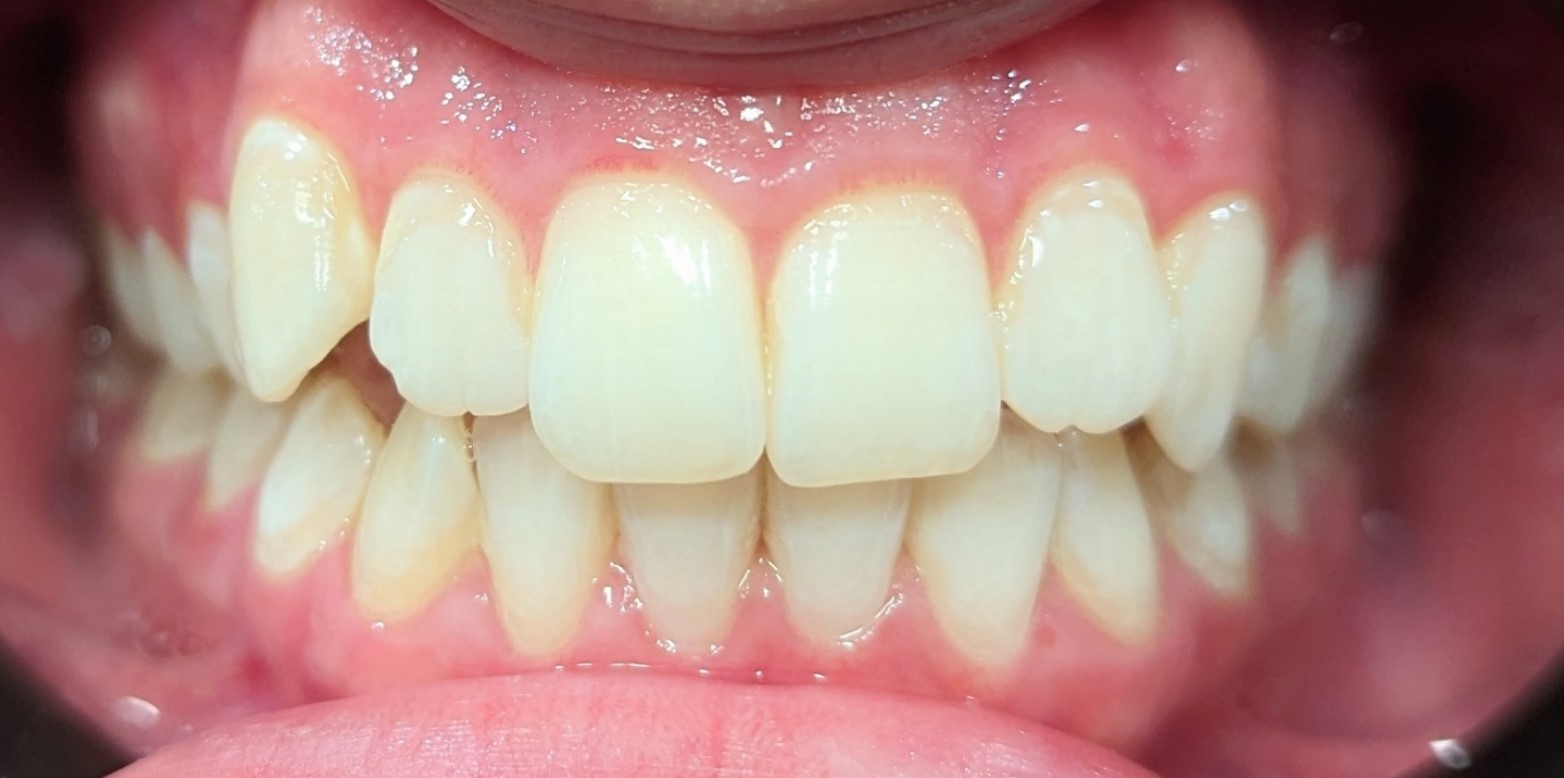
Situation: Our patient came to us with a broken tooth and a gap between the teeth.
Treatment: The treatment plan was completed in one appointment with a composite resin filling.
Situation: Patient’s teeth had become chipped and worn down over time, and wanted them restored.
Treatment: Treatment plan included GLO professional whitening first, followed by bonding so the teeth could match the shade of her newly whitened teeth.
Situation: Our patient was missing a tooth that was fractured.
Treatment: First Dr. Kime Whitman removed the fractured tooth, then provided GLO professional whitening after the implant was placed, but before the dental crown was placed on the implant.
Situation: Our patient came to us with significant caries, with rampant decay throughout the mouth along with periodontal disease.
Treatment: Dr. Kime Whitman did full mouth extractions along with complete upper and lower dentures.
Situation: Old dental fillings were leaking and had become discolored over time.
Treatment: Dr. Kime Whitman removed the old composite fillings and replaced them with four new fillings.
Situation: A young girl had fallen, hit her face on a sidewalk and had broken several of her teeth.
Treatment: Dr. Kime Whitman initially provided temporary bonding of her teeth to hold them in place while the swelling went down. Then she placed new dental crowns on her two front teeth.
Situation: Our patient had a failing root canal.
Treatment: Dr. Kime Whitman extracted the tooth and restored it with a dental implant.
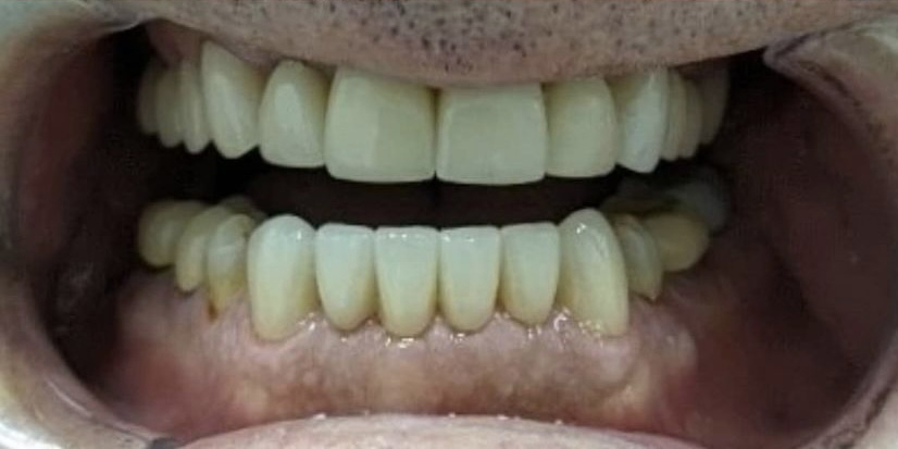
Situation: Our patient had carries on every tooth, and required extractions and multiple restorations with dental crowns.
Treatment: Dr. Kime Whitman performed the extractions, installed a dental bridge along with multiple dental crowns, restoring a natural looking and functioning smile.
Situation: The patient had abfraction lesions, which is areas of enamel loss and is most often caused by aggressive brushing, teeth grinding or clenching, or a misaligned bite. The tooth loses structural support and can be prone to fracture.
Treatment: Simple dental fillings repair and restore the tooth and prevent these issues.
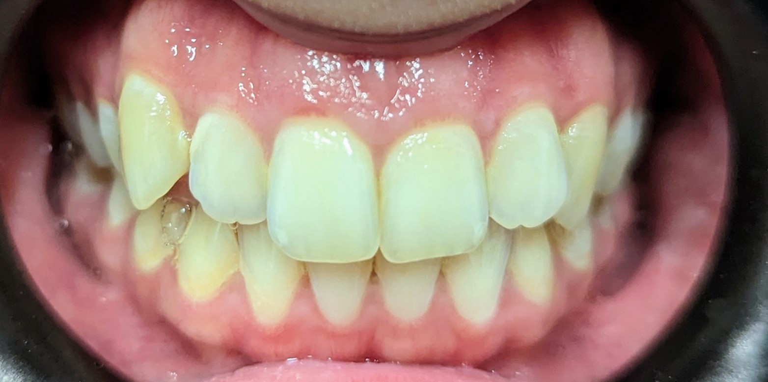
Situation: The patient had chipped and shifting front teeth from trauma and white spots from orthodontic brackets.
Treatment: The patient did not want to get braces again to correct the alignment. We restored and enhanced her smile through a combination of dental bonding and veneers on her four front teeth.
Situation: The patient had chipping and uneven front teeth. It was essential to her that we found a shade to blend in with her adjacent teeth which she had recently whitened.
Treatment: We provided veneers to correct these issues. Her bite is now more even and there is no further concern of chipping.
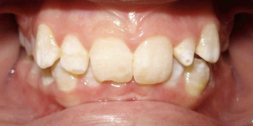
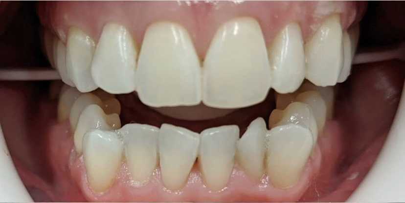
Situation: The patient came in with peg lateral incisors. This is often a genetic condition where the teeth are smaller and appear cone-shaped and pointy.
Treatment: We did bonding for this patient who completed her orthodontics but wanted her front teeth to be a more natural incisor shape.









































